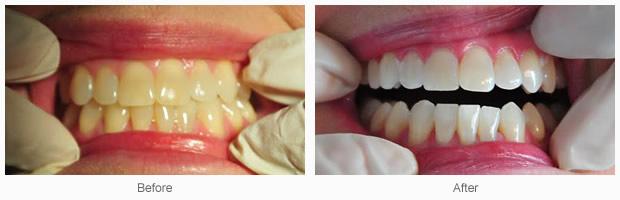
ZOOM!® Teeth Whitening
« of 9 »