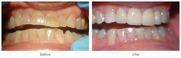
Dental Teeth Whitening and Cosmetic Porcelain Crowns
« of 9 »